What is Taurodontism? A Rare Developmental Abnormality.
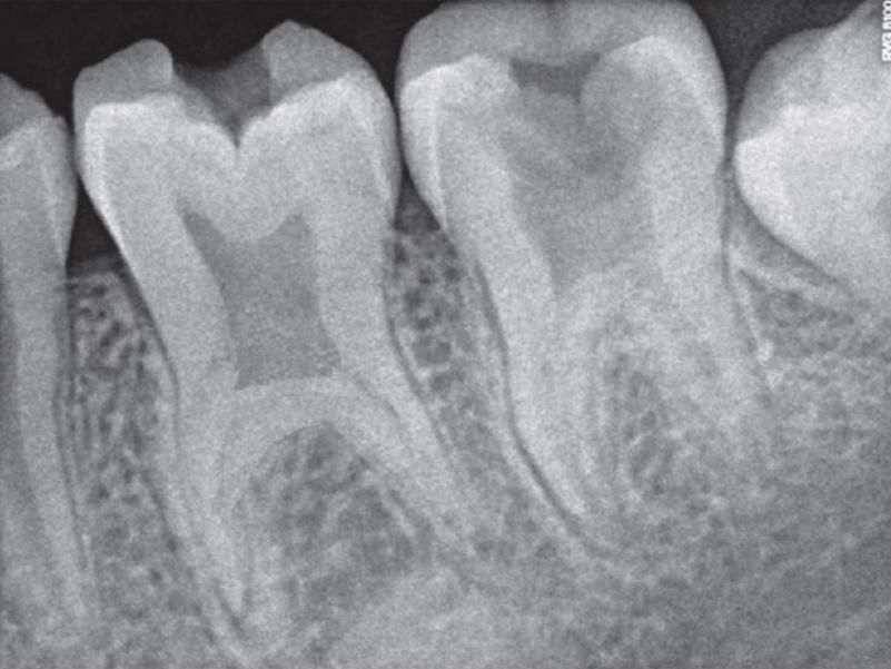
TaurodontismTaurodontism is a disturbance during development of a tooth in which the body is enlarged at the expense of the roots. An enlarged pulp chamber, apical displacement of the pulpal floor and lack of constriction at the cementoenamel junction are the characteristic features. Seen commonly
Taurodontism
Taurodontism is a disturbance during development of a tooth in which the body is enlarged at the expense of the roots. An enlarged pulp chamber, apical displacement of the pulpal floor and lack of constriction at the cementoenamel junction are the characteristic features. Seen commonly in molars. It is also known as Bull-like Teeth.

Causes
Although considered to be a developmental rarity, the precise cause of taurodontism is unknown. Genetic disorders or mutations such as Amelogenesis imperfecta, a condition affecting the development of tooth enamel. Ectodermal dysplasia, a disorder affecting the skin, hair, nails, teeth, and sweat glands.
Clinical findings
- It may affect both deciduous and permanent dentition but more common in permanent dentition.
- Molars are commonly affected.
- Tooth morphology is normal.
Radiographic features
- An enlarged pulp chamber is seen.
- The roots of the tooth get smaller.
- Furcation is present just above the root apex.
Diagnosis
Visual radiographic assessment is the most followed method of diagnosing taurodontism. By using this method, severe forms of taurodontism can be easily recognized without much difficulty.
Treatment
No specific treatment is required.
Disclaimer: The opinions expressed within this article are the personal opinions of the author. The facts and opinions appearing in the article do not reflect the views of 25hrNews and 25hrNews does not assume any responsibility or liability for the same.
(+91) 8081113111
pr@25hrnews.com
Rutvik Ashar
Hard Rokad
Anand Dodiya
Anand Dodiya
Hardik Dhulia