25 HourNews
Get 2x faster version
Open in app
All Trending World Music Sports Fashion Nature Health Food Technology Lifestyle People Business Automobile Medical Entertainment History Politics Travel Others

Morbid history: the A 21-year-old male with the clinical.

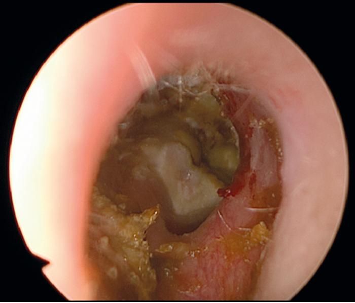
A 21-year-old male with no known morbid history who came to the clinic for 24-hour evolution of facial paralysis, neck pain, and feeling of vertigo. The anamnesis revealed that five days before, Vesicular lesions had appeared in the external ear and ear canal. He had no symptomatic history of herpes

morbid history, herpes zoster, banasogenial sulcus
Herpes zoster.
A 21-year-old male with no known morbid history who came to the clinic for 24-hour evolution of facial paralysis, neck pain, and feeling of vertigo. The anamnesis revealed that five days before, Vesicular lesions had appeared in the external ear and ear canal. He had no symptomatic history of herpes zoster. 

morbid history, herpes zoster, banasogenial sulcus

Physical examination revealed vesicles and scabs on the car shell, antihelix, antitragus, and external auditory canal of the right ear. In addition, decreased banasogenial sulcus on the right side, smiling showed a deviation of the oral commissure, inability to show the teeth on the right side, and 3 mm lagophthalmos in the right eye.



Disclaimer: The opinions expressed within this article are the personal opinions of the author. The facts and opinions appearing in the article do not reflect the views of 25hrNews and 25hrNews does not assume any responsibility or liability for the same.

Stay Tuned

Comments