Journal Case: Metastatic Clear Cell Sarcoma.
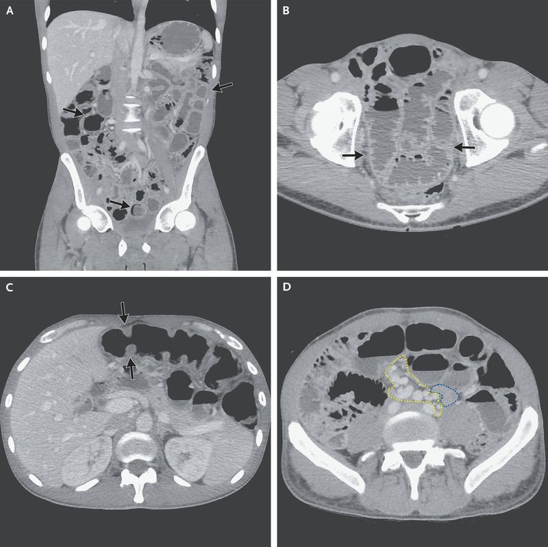
A 62-year-old man presented beside a 5-month history of abdominal distention, diarrhoea, and weight loss. The medical history was notable for the excision of a localized oral clear-cell sarcoma 2 years earlier without further treatment. The physical examination showed enlarged cervical lymph nodes a
The physical examination showed enlarged cervical lymph nodes and abdominal distension.
A 62-year-old man presented beside a 5-month history of abdominal distention, diarrhoea, and weight loss. The medical history was notable for the excision of a localized oral clear-cell sarcoma 2 years earlier without further treatment. The physical examination showed enlarged cervical lymph nodes and abdominal distension.
Computed tomography of the abdomen showed numerous grape-like nodules. Ultrasonographically guided biopsy of an abdominal lesion was performed, and the histopathological analysis revealed clear cell sarcoma Panel B.

Clear-cell sarcoma is a malignant soft-tissue tumour derived from neural crest cells. It shares morphologic immunohistochemical, and ultrastructure similarities with malignant melanoma. This cancer typically affects the limbs of young adults, and the involvement of the oral and abdominal cavities is uncommon.
Disclaimer: The opinions expressed within this article are the personal opinions of the author. The facts and opinions appearing in the article do not reflect the views of 25hrNews and 25hrNews does not assume any responsibility or liability for the same.
(+91) 8081113111
pr@25hrnews.com